updates | February 25, 2026

What is CSP in fetus?

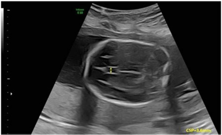
Cavum septi pellucidi (CSP) is an important landmark in the prenatal ultrasound evaluation of the fetal brain, and is a marker for normal central forebrain development. Examination of the fetal brain by MRI can confirm the sonographic findings and evaluate for associated anomalies.Click to see full answer. Considering this, what does the cavum septum pellucidum do?This is an important normal structure to identify in the sonographic assessment of the fetal brain. In post-natal life, the laminae of the septum pellucidum usually fuse, which obliterates the cavum. The cavity contains cerebrospinal fluid (CSF) that filters from the ventricles through the septal laminae.Additionally, what is absent cavum septum pellucidum? Absence of the Septum Pellucidum. The septum pellucidum (SP) is a thin membrane located at the midline of the brain. Children who are born without this membraine and also have other abnormalities–pituitary deficiencies and abnormal development of the optic disk–have a disorder known as septo-optic dysplasia. Also know, is cavum septum pellucidum dangerous? Symptomatic enlargement of the cavum septum pellucidum is rare and most commonly causes intermittent obstructive hydrocephalus with headache and loss of consciousness. It is amenable to surgical treatment such as cyst puncture or shunting, ventriculoperitoneal shunting, or radical excision.What fluid filled spaces does the septum pellucidum divide?The septum pellucidum (Latin for “translucent wall”) is a thin, triangular, vertical double membrane separating the anterior horns of the left and right lateral ventricles of the brain.